Oggi affrontiamo un tema molto comune ma spesso sottovalutato: la rizoartrosi, o artrosi del pollice. Hai mai sentito parlare di questa condizione? O magari ne soffri e stai cercando soluzioni per alleviare i sintomi?
Avendo trascorso molti anni nel campo della chirurgia della mano, ho avuto a che fare frequentemente con la rizoartrosi. Nonostante sia una patologia comune, molte persone continuano a soffrirne senza sapere come migliorare la propria condizione. Quindi, vediamo di cosa si tratta e come è possibile alleviare il disagio.

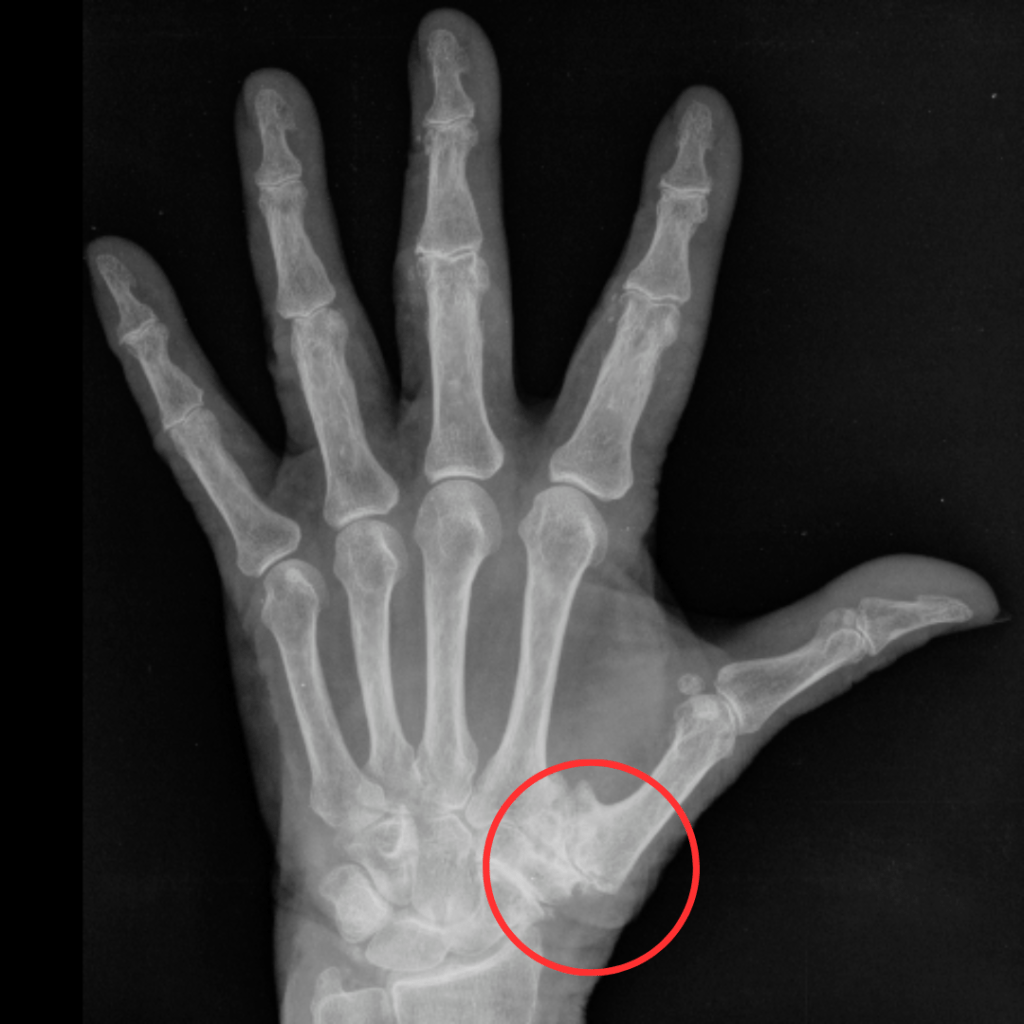
Come puoi osservare dall’immagine, la rizoartrosi è essenzialmente il risultato dell’usura della superficie articolare. Questa continua ad aggravarsi con il movimento, causando “attrito”, aumento dell’infiammazione e dolore.
Ora, come di consueto, ti lascio l’estratto di un articolo scientifico per approfondire e ti aspetto alla fine dell’articolo per discutere insieme le nostre considerazioni.
“L’artrosi della base del pollice, o dell’articolazione carpometacarpale (CMC), è una delle artralgie più comuni. La rizoartrosi, nota anche come artrosi del pollice o artrosi trapeziometacarpale, è una forma di osteoartrosi che colpisce l’articolazione alla base del pollice, in particolare l’articolazione trapeziometacarpale. Questa condizione si manifesta quando il rivestimento cartilagineo dell’articolazione inizia a deteriorarsi a causa dell’usura, causando dolore, infiammazione, rigidità e una diminuzione della mobilità. La rizoartrosi è più comune nelle donne e nelle persone di età avanzata, e può essere influenzata da fattori come l’uso eccessivo, traumi ripetuti, predisposizione genetica e condizioni degenerative. Il dolore e la limitazione funzionale che ne derivano possono compromettere significativamente la capacità di eseguire attività quotidiane che richiedono l’uso del pollice. L’artrosi del pollice è spesso gestita non chirurgicamente con la modifica delle attività quotidiane, l’uso di ortesi, farmaci antinfiammatori (orali e/o topici) e iniezioni intra-articolari di corticosteroidi. Poche ricerche riportano il tasso di successo della gestione non chirurgica, ma uno studio recente di Ostergaard e colleghi ha scoperto che più del 60% dei pazienti che si sono presentati per la prima volta in una clinica di chirurgia della mano ha mostrato miglioramenti con modalità non operative. Anche Bertozzi e colleghi, in una revisione sistematica, hanno trovato che solo il 30% dei pazienti è progredito verso l’intervento chirurgico.
OPZIONI TERAPEUTICHE
EDUCAZIONE E MEODIFICA DELLE ATTIVITA’. Il controllo del dolore è un aspetto cruciale nella gestione dell’artrosi del pollice. Il primo passo nel trattamento di un’articolazione dolorosa comporta l’evitamento delle attività che provocano dolore. Questo può risultare complesso data l’importanza dell’articolazione basale del pollice nelle attività quotidiane. Tuttavia, educare i pazienti su come evitare di sovraccaricare il CMC del pollice può rivelarsi molto utile. È consigliato ai pazienti di evitare movimenti di pizzicamento, torsione e presa intensa, specialmente quando l’articolazione è in fase acuta di infiammazione. L’uso di strumenti ausiliari, come dispositivi per aiutare nell’apertura di bottiglie e barattoli o nell’uso delle chiavi, può significativamente ridurre lo sforzo sull’articolazione del pollice e migliorare la qualità della vita. Quando utilizzati correttamente, questi strumenti aiutano i pazienti a migliorare la forza di presa e a ridurre il dolore. Le tecniche di protezione dell’articolazione e l’educazione su come gestire il disturbo possono essere fornite dal medico e ulteriormente rafforzate da un terapista della mano.
TERAPIA FARMACOLOGICA ORALE E LOCALE
TUTORE. L’utilizzo di ortesi è uno dei metodi più comuni per trattare l’artrosi del pollice. Tipicamente, l’ortesi è progettata per stabilizzare l’articolazione carpometacarpale (CMC) e spesso anche l’articolazione metacarpo-falangea (MCP) del pollice, lasciando libera l’articolazione interfalangea. Si consiglia un’ortesi che supporti l’articolazione CMC in abduzione palmare per garantire stabilità e massimizzare l’apertura dello spazio interdigitale. Le ortesi possono essere indossate di notte per dare riposo all’articolazione durante il sonno, durante il giorno per supportare e alleggerire il carico sull’articolazione durante le attività, o per offrire un confortevole sostegno alla mano, combinando questi usi a seconda delle esigenze. Le opzioni di ortesi spaziano da un supporto in neoprene morbido e flessibile a un tutore termoplastico su misura, rigido, che può essere basato sull’avambraccio, sulla mano o limitarsi solo all’articolazione CMC. Attualmente, le linee guida internazionali raccomandano formalmente l’uso di ortesi per l’artrosi del pollice.
FISIOTERAPIA. La letteratura mostra generalmente esiti positivi per le terapie nell’artrosi del pollice, anche se alcune ricerche indicano effetti limitati. O’Brien e i suoi colleghi hanno condotto una revisione retrospettiva sul loro approccio alla stabilità dinamica, osservando una riduzione del dolore del 15% e miglioramenti funzionali nel loro gruppo di pazienti.
Uno studio randomizzato e controllato ha coinvolto 180 pazienti trattati con educazione, dispositivi assistenziali, ortesi ed esercizi, rispetto a un gruppo che ha ricevuto solo educazione. Questo studio ha evidenziato una leggera tendenza, anche se non significativa, a ritardare e ridurre il bisogno di interventi chirurgici nel gruppo trattato.
Il rafforzamento del muscolo primo interosseo dorsale (FDIO) può essere utile per alleviare i sintomi dell’artrosi del pollice. La ricerca di McGee e colleghi ha rivelato che la contrazione del FDIO riduce anatomicamente la giuntura CMC sotto fluoroscopia. L’analisi del movimento ha dimostrato che il FDIO è cruciale per la stabilizzazione di questa articolazione e suggerisce che il suo potenziamento possa mitigare il dolore.
INFILTRAZIONI DI CORTISONE INTRA-ARTICOLARE. I dati di efficacia sono molto variabili tra gli studi.
INFILTRAZIONE DI ACIDO IALURONICO
PRP
ALIMENTAZIONE. Il fumo è stato collegato a una minore tolleranza al dolore e a un maggior tasso di catastrofizzazione del dolore, con studi che indicano una ridotta efficacia delle iniezioni di steroidi e un aumento degli interventi chirurgici nei fumatori affetti da artrosi del pollice. Al contempo, le diete anti-infiammatorie sono diventate popolari, con ricerche che suggeriscono miglioramenti nelle condizioni di pazienti con artrite reumatoide che seguono tali diete, sebbene i dati siano ancora inconcludenti per l’artrite osteoartrosica. Nonostante questo, una dieta migliorata e l’esercizio fisico sono consigliati per i loro benefici collaterali minimi.
Il dolore cronico da patologie articolari può aggravare la depressione e l’ansia, influenzando negativamente la percezione del dolore e la funzionalità. Studi hanno mostrato che pazienti con una storia di interventi chirurgici alla mano e alti livelli di depressione sono più inclini a ulteriori operazioni. La gestione della depressione e dell’ansia può quindi essere cruciale nel trattamento dell’artrite del pollice.
Infine, studi indicano che una profilassi psicologica migliorata, inclusa l’educazione del paziente e il training su strategie di coping, può essere essenziale per coloro che si sottopongono a trattamenti per l’artrite del pollice, suggerendo un impatto significativo delle caratteristiche psicologiche sui risultati del trattamento.
INTEGRAZIONE. Quando i trattamenti convenzionali come FANS e iniezioni non sono efficaci, gli integratori e le vitamine rappresentano un’opzione più olistica, sebbene manchino studi solidi sulla loro efficacia. Glucosamina, condroitina, coenzima Q10 e olio di pesce sono considerati per i loro potenziali effetti antinfiammatori e protettivi sulle articolazioni. Una meta-analisi ha evidenziato che la condroitina, da sola o con glucosamina, può offrire benefici a breve termine. Alimenti con proprietà antinfiammatorie come curcuma e zenzero sono popolari nella dieta mediterranea. Per quanto riguarda i farmaci topici come creme e balsami, non esistono dati di qualità che ne confermino l’efficacia. Si consiglia ai pazienti interessati a questi prodotti di provarli e valutare personalmente i benefici prima di decidere se continuare il trattamento.
CONCLUSIONE. L’artrosi del pollice CMC può generalmente essere gestita senza ricorrere alla chirurgia. I trattamenti più comunemente utilizzati includono l’uso di tutori, la modifica delle attività quotidiane e l’uso di agenti anti-infiammatori topici, orali o iniettati. Tra i trattamenti più innovativi ci sono i cambiamenti dietetici e dello stile di vita, integratori, cellule staminali, o l’uso di cannabidiolo topico o ingerito. Ulteriori ricerche e studi sui risultati sono necessari.
ELEMENTI CHIAVE
- Gli antidolorifici applicati direttamente sulla pelle sono il trattamento iniziale preferito, ma è consigliato usare con cautela gli antidolorifici somministrati per via sistemica.
- Si possono considerare iniezioni direttamente nell’articolazione per alleviare il dolore, ma non esistono prove che confermino la superiorità degli steroidi rispetto all’acido ialuronico o ad altri trattamenti.
- È utile promuovere cambiamenti dello stile di vita e offrire supporto psicologico per smettere di fumare, perdere peso e migliorare la salute mentale, come parte della gestione dell’osteoartrite della base del pollice.
- Sono necessarie ulteriori ricerche per valutare l’efficacia di diete anti-infiammatorie, integratori, uso di cannabinoidi o terapie con cellule autologhe nel trattamento dell’artrosi al pollice.”
Eccoci giunti alla nostra conclusione. Come avrai potuto notare da questo articolo dettagliato, non esiste ancora una cura definitiva per l’artrosi della mano. L’intervento chirurgico rimane un’opzione valida, ma è consigliabile solo in stadi avanzati e in presenza di dolore che non risponde ad altri trattamenti.
Per questo, il mio consiglio è di ascoltare sempre il proprio corpo. Se le attività quotidiane come aprire barattoli, girare chiavi o lavarsi i denti diventano troppo difficili tanto da richiedere sempre aiuto, potrebbe essere il momento di considerare l’intervento chirurgico. Tuttavia, fino a quel momento, è meglio adottare un approccio conservativo. È fondamentale agire prima per ridurre al minimo l’usura dell’articolazione, praticamente, questo significa evitare prese piccole e ingrandire le impugnature di oggetti come penne, spazzolini e posate per mantenere il corretto allineamento articolare. Si dovrebbero utilizzare anche ausili che facilitino le attività domestiche, come robot da cucina, frullatori e affettatori, e si dovrebbe evitare di premere pulsanti o interruttori con forza usando il pollice. Consiglio anche l’uso di forbici con molle e di impiegare sempre entrambe le mani per distribuire i carichi.
Un’altra raccomandazione importante è l’uso di tutori fatti su misura, che preferisco vengano indossati solo di notte o durante i momenti di riposo durante il giorno. Perché su misura? Perché è l’unico modo per garantire che il tutore sia perfettamente adatto, mantenendo la posizione ideale e permettendo modifiche in caso di necessità, risultando così estremamente personalizzato.
Sono utili anche esercizi di rinforzo per i muscoli del pollice e terapie locali con oli essenziali specifici, creme dedicate e integratori mirati.
Non sono particolarmente a favore delle infiltrazioni intra-articolari, non avendo riscontrato benefici significativi, quindi non le consiglio come primo intervento.
E tu, che hai questo problema, cosa stai facendo per gestirlo? Condividi la tua esperienza nei commenti.
La Dottoressa solare.
“Nonoperative Management of Carpometacarpal Joint Arthritis. Maureen A. O’Shaughnessy, Marco Rizzo. Hand Clin 38 (2022) 161–168”







Lascia un commento